Zubní Péče Plus

Jak vypadá zánět v puse? Příznaky, příčiny a co dělat, když máte zánět dásní nebo okolo zubu
28 December 2025 0 Comments Radim Novotný

Kontrola příznaků zánětu v puse

Tento nástroj vám pomůže zjistit, zda můžete mít zánět v puse. Vyhodnoťte příznaky, které prožíváte, a podle výsledku zjistíte, zda byste měli navštívit zubního lékaře.

Poznámka: Tento nástroj nevykonává diagnózu. Pokud máte příznaky zánětu, doporučujeme vždy konzultovat zubního lékaře.
Tip: Pokud máte e-max korunku a vidíte některý z těchto příznaků, je to zvláštní signál, že infekce je pod korunkou.

Zvolte příznaky a klikněte na "Zkontrolovat příznaky" pro zobrazení výsledku.

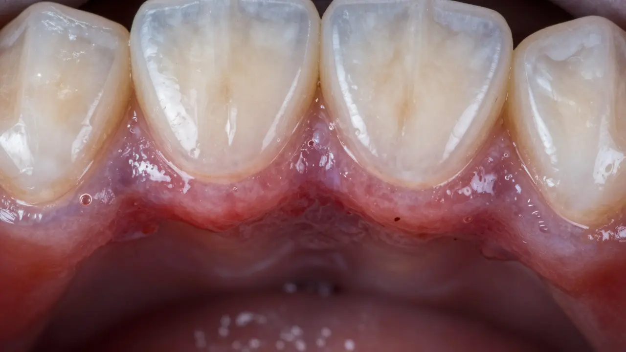
Stačí jedno jídlo, které vás trochu dráždí, a už cítíte, že něco není v pořádku. Puska je červená, bolí při doteku, možná i krvácí. Nebo se vám kolem jednoho zubu, třeba e-max korunky, objeví malý výběh, který se nechce zaseknout. To není jen nepříjemné - to je zánět v puse. A nejde o to, že to „se samo projde“. Zánět v puse je tělo, které volá o pomoc. Pokud ho ignorujete, může se rozšířit a způsobit vážnější problémy - od ztráty zubu až po infekci, která se šíří do krku nebo dokonce do krve.

Co vlastně znamená zánět v puse?

Zánět v puse není jedna věc. Je to spíš skupina příznaků, které mohou vzniknout v různých částech ústní dutiny. Nejčastěji se objevuje jako:

  • Zánět dásní (gingivitida) - červenost, otok, krvácení při čištění
  • Zánět kolem kořene zubu (periodontitida) - hlubší infekce, která poškozuje kost
  • Zánět kolem korunky - třeba e-max korunky, kdy se infekce dostane pod zub
  • Absces - hnisavá kapsle, která se tvoří kolem kořene a může vybuchnout

Pokud máte e-max korunku a kolem ní začne být dásňový výběh, není to náhoda. E-max korunky jsou krásné, přirozené a pevné, ale nejsou „vodo-těsné“ v tom smyslu, že pod nimi nemůže vniknout bakterie. Pokud je korunka špatně přizpůsobená, nebo se pod ní začne hromadit plak, bakterie proniknou pod korunku, začnou živit se zbytky jídla a způsobí zánět. A to je přesně ten moment, kdy se začne dásňový výběh - a pak už se nechce zaseknout.

Jak zánět v puse vypadá - viditelné příznaky

Když se podíváte do zrcadla, co hledat?

  • Červené nebo fialové dásně - místo zdravé růžové barvy jsou tmavší, zvětšené a lesklé
  • Krvácení - i když jen lehce čistíte zuby nebo jíte tvrdší potravu
  • Otěk - dásně vypadají jako „nafouknuté“, obzvláště kolem jednoho zubu
  • Zápach z úst - ani dobré čištění, ani ústní voda to neodstraní
  • Bolavost - při doteku, kousnutí nebo dokonce bez příčiny
  • Výběh nebo hnis - malý „puklík“ na dásni, z něhož se vysouvá bílá nebo žlutá tekutina
  • Zub se zvlnil - pokud je zánět dlouhodobý, kost kolem kořene se rozpadá a zub se začne hýbat

Pokud máte e-max korunku a kolem ní vidíte některý z těchto příznaků, není to „jen trochu zčervenalo“. To je signál, že infekce je pod korunkou. A e-max korunky nejsou „zázračné“ - nezastaví bakterie, pokud se dostanou pod ně.

Proč se zánět objevuje právě kolem e-max korunky?

E-max korunky jsou vyrobené z křemíkové keramiky - výborný materiál pro estetiku a odolnost. Ale mají jednu slabost: hranice mezi korunkou a zubem. Pokud je ta hranice špatně přizpůsobená, vytváří se mezera. Tam se hromadí plak, bakterie, zbytky jídla. A protože je to pod korunkou, nemůžete to vidět, ani to dobře vyčistit.

Časté příčiny zánětu kolem e-max korunky:

  • Korunka je příliš volná - nebyla přesně přizpůsobená při instalaci
  • Pod korunkou zůstal cement - zbytek lepidla, který se neodstranil
  • Špatná hygiena - čištění zubů jen rychle a bez mezi zubních prostorů
  • Bruxismus (škrábaní zuby) - zatlačuje korunku a způsobuje mikrotrhliny
  • Stárnutí materiálu - i když je e-max trvanlivý, po 10-15 letech se může začít odpojovat

Nejčastější chyba: lidé si myslí, že když je korunka „v pořádku“ a nebolí, je všechno v pořádku. Ale zánět se může vyvíjet bez bolesti - jen pomalu, až když už je pozdě.

Průřez ústní dutiny ukazující infekci pod korunkou a šíření bakterií do kosti.

Co se stane, když zánět ignorujete?

Zánět v puse není jen „nepříjemnost“. Je to infekce, která se šíří.

  • Do kosti - zánět z dásní se může dostat k kořeni a zničit kost, která drží zub. To se jmenuje periodontitida. A ta je nevratná.
  • Do abscesu - hnis se hromadí a vytváří kapsli. Může se vyprázdnit, ale zpět se vrátí. Nebo se rozšíří do obličeje.
  • Do krku a krve - bakterie z úst se mohou dostat do krevního oběhu. U lidí s oslabeným imunitním systémem to může vést k infekcím srdce (endokarditida) nebo plic.
  • Ztráta zubu - pokud se kost kolem zubu zhroutí, zub se vypne. A e-max korunka s ním spolu zmizí.

Někteří pacienti čekají, až „to bolí moc“, než půjdou k zubnímu. Ale většina zánětů začíná bez bolesti. To je jejich nejnebezpečnější vlastnost.

Co dělat, když máte zánět v puse?

Nejprve - nečekáte. Nevykoupejte si ústa solí, nezakládejte zubní nit, nečistíte agresivně. To může zhoršit stav.

První krok: zubní lékař. Nejde o to, jestli máte e-max korunku, nebo přirozený zub. Zánět potřebuje profesionální léčbu.

Co se stane u zubního?

  1. Prohlídka a rentgen - zjistí, jestli je zánět pod korunkou, zda je kost poškozená, jestli je hnis
  2. Odstranění zánětu - pokud je to jen zánět dásní, provede se hluboké čištění (skaling). Pokud je infekce pod korunkou, je třeba ji otevřít
  3. Odstranění korunky - pokud je pod ní infekce, musí se korunka odstranit, aby se mohla očistit kořen
  4. Léčba kořene - pokud je kořen infikovaný, provede se endodontická léčba (léčba kořene)
  5. Nová korunka - po uzdravení se vloží nová, přesně přizpůsobená e-max korunka

Nejčastější chyba: lidé chtějí „jen zatím zůstat s původní korunkou“. Ale pokud je pod ní infekce, neexistuje žádný způsob, jak ji „zakrýt“. Musí se odstranit. Jinak se zánět bude opakovat.

Jak zánět v puse předcházet?

Předcházet je vždy levnější než léčit. A u e-max korunek to platí zvlášť.

  • Čistěte mezi zuby každý den - zubní nit nebo mezizubní kartáček. Tady se zánět začíná
  • Nečistěte jen zuby - čistěte i dásně. Lehké masáže dásní kartáčkem pomáhají předcházet zánětu
  • Navštěvujte zubního lékaře každých 6 měsíců - i když nic nebolí. Rentgen ukáže, co se děje pod korunkou
  • Nejedzte moc sladkého a kyselého - to zvyšuje plak a kyselost v ústech
  • Udržujte vodu v těle - slina pomáhá čistit ústa. Pokud máte sucho v ústech, riziko zánětu stoupá
  • Pozor na bruxismus - pokud škrábate zuby v noci, nosíte ochrannou štětici. Jinak se korunka může poškodit a vzniknou mezery

Pokud máte e-max korunku, ještě více než jiní potřebujete pravidelnou kontrolu. Ta korunka je krásná, ale není nezničitelná. A zánět pod ní je tichý, ale nebezpečný.

Surreální obraz klidného obličeje s skrytou infekcí šířící se do čelisti a krve.

Je zánět v puse nakažlivý?

Není. Zánět v puse není nakažlivá nemoc, jako nachlazení. Ale bakterie, které ho způsobují, se mohou přenášet. Například když si vyměníte lžíci s někým, kdo má zánět dásní, nebo když se líbáte. To neznamená, že se vám okamžitě rozvine zánět - ale zvyšuje riziko, pokud máte špatnou hygienu.

Je to jako s kvasinkami: nejsou nakažlivé, ale pokud máte oslabený imunitní systém nebo špatnou hygienu, můžou se rychle rozmnožit.

Když už máte zánět - co můžete udělat doma?

Domácí opatření neodstraní zánět, ale mohou ho zmírnit, dokud se nedostanete k lékaři.

  • Teplá solná voda - jedna lžíce soli do sklenice teplé vody, 30 sekund pláchněte, 2-3× denně
  • Nečistěte agresivně - nepoužívejte tvrdé kartáčky ani silný proud vody
  • Vyhněte se kyselým a sladkým jídlům - zvyšují kyselost a podporují bakterie
  • Nezakládejte hnis - pokud se objeví výběh, neklikávejte na něj. Může se šířit hlouběji
  • Neužívejte antibiotika bez předpisu - mohou zneužít bakterie a zhoršit stav

Nezapomeňte: toto je jen dočasné opatření. Zánět se neodstraní doma. Potřebujete zubního lékaře.

Co se stane, když zánět necháte na dlouho?

Nejhorší případ: zub se ztratí. Ale i když se zub zachová, může se stát, že:

  • Kost kolem něj je natolik poškozená, že nemůžete vložit novou korunku
  • Je třeba odstranit zub a vložit náhradu - implantát, který je daleko dražší než korunka
  • Infekce se rozšíří do obličeje - potřebujete hospitalizaci a silná antibiotika
  • Vznikne chronický zánět, který se vrací každých pár měsíců

U e-max korunek je to ještě horší: vložení nové korunky po ztrátě kosti je složité a často nemožné. A nejčastěji se stane, že lidé ztrácejí zub, protože „nechtěli zbytečně platit za kontrolu“.

Může zánět v puse vzniknout i bez bolesti?

Ano, velmi často. Zánět dásní nebo infekce pod korunkou může být bez bolesti, zvláště v počátečních fázích. Červenost, krvácení nebo zápach z úst jsou častějšími příznaky než bolest. Proto je důležité pravidelné kontroly u zubního lékaře, i když se nic nebolí.

Je možné zánět pod e-max korunkou vyléčit bez jejího odstranění?

Výjimečně, pokud je zánět jen povrchový a nezasáhl kořen. Ale v 90 % případů, kdy je zánět pod korunkou, je nutné ji odstranit, aby se mohla provést kompletní čistota kořene a léčba infekce. Pokusy o léčbu „pod“ korunkou bez jejího odstranění selhávají a infekce se vrací.

Jak dlouho trvá léčba zánětu kolem e-max korunky?

Léčba trvá obvykle 2-4 týdny. První návštěva je pro diagnózu a odstranění korunky, následuje léčba kořene (pokud je potřeba), a pak 2-3 týdny na uzdravení dásně a kosti. Nová korunka se vloží až po úplném uzdravení - jinak se zánět opakuje.

Je lepší mít e-max korunku nebo jiný typ?

E-max korunka je jedna z nejlepších možností pro estetiku a trvanlivost. Ale její výhoda je vzhledem a odolností, ne v tom, že „nevyvolává zánět“. Každá korunka, bez ohledu na materiál, může způsobit zánět, pokud není správně instalována nebo se neudržuje hygiena. Důležitější než materiál je kvalita instalace a vaše péče o ústní dutinu.

Může zánět v puse způsobit bolest hlavy nebo uší?

Ano. Zánět v horní části ústní dutiny, zvláště u zadních zubů, může způsobit bolest, která se šíří do uší, čelisti nebo hlavy. To je proto, že nervy v ústech a hlavě jsou propojené. Pokud máte bolest v uchu a nevíte, proč, zkontrolujte si ústní dutinu.

Nezapomeňte: zánět v puse není záležitost „na vlastní ruku“. Je to zdravotní problém, který vyžaduje odbornou péči. A pokud máte e-max korunku, ještě víc než jiní potřebujete pravidelné kontroly. Nečekáte, až to bolí. Kontrolujte to, když ještě nebolí.