Zubní Péče Plus

Zubní kámen pod dásní: co to je a jak ho efektivně léčit
22 December 2025 0 Comments Radim Novotný

Zubní kámen pod dásní je jedna z nejčastějších příčin zánětů dásní a ztráty zubů - a přitom ho mnoho lidí přehlíží, protože ho nevidí. Nejde o nějaký povrchový šmouha, ale o tvrdou, vápennou vrstvu, která se tvoří pod dásněmi, kde si ji člověk nemůže vyčistit ani nejlepší kartáček. Když se začneš ptát, proč ti krvácejí dásně, když se ti zuby cítí volné nebo když máš trvalý zápach z úst, pravděpodobně se jedná o zubní kámen pod dásní.

Co je zubní kámen pod dásní?

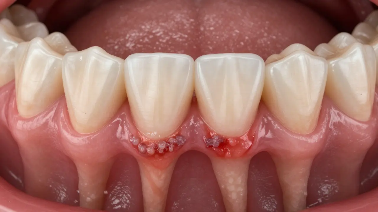
Zubní kámen pod dásní je zkalená forma zubního plaku, která se usazuje v mezích mezi zubem a dásní - v tzv. zubodásňovém drážkách. Plak je ten měkký, lepkavý film bakterií, který se na zubech tvoří každý den. Když ho neodstraníš pravidelným čištěním, začne vápnit. Vápník z slin se usazuje na plaku a vytváří tvrdou, neprůhlednou vrstvu - to je zubní kámen.

Pod dásní je to ale ještě hůře. Tam se kámen nejen tvoří, ale i zvětšuje, protože se tam nevyskytuje žádné čištění. Bakterie v něm produkují toxiny, které poškozují dásně, kost a vaziva, která drží zuby na místě. Tento proces se jmenuje parodontitida - a je to závažná nemoc, která se nezahájí náhle, ale pomalu, často bez bolesti. Většina lidí si neuvědomí, že mají problém, dokud neztratí zub nebo nezačne dásňová brána otevírat.

Proč je zubní kámen pod dásní nebezpečnější než ten na povrchu?

Zubní kámen na zubech - ten, co vidíš - je už špatný, ale ten pod dásní je jako nějaký skrytý terorista. Nevidíš ho, nečuješ ho, ale ničí tě. Když je kámen na povrchu, můžeš ho odstranit doma alespoň částečně. Pod dásní? Tam se žádný kartáček, ani nit nevyrovná. Tam se kámen tvoří v hloubce 3-6 mm, kde se nachází kost, která podporuje zub.

Když se kámen pod dásní rozšíří, začne způsobovat ztrátu kosti. Každý milimetr ztracené kosti je nevratný. Zuby se začnou hýbat, dásně se stahují, vznikají tzv. zubodásňové kapsy - mezery, kde se hromadí ještě víc bakterií. A to je kruh, který se neustále zhoršuje. Výsledek? Ztráta zubů, kterou můžeš zabránit, ale jen pokud zjistíš problém včas.

Podle dat z Ústavu zdravotní péče v Praze z roku 2024 má až 68 % dospělých ve věku 35-55 let nějakou formu parodontitidy - a většina z nich si toho ani nevšimla. To není přehlédnutelné.

Jak poznat, že máš zubní kámen pod dásní?

Nejčastější příznaky nejsou žádné zvláštní, ale jejich kombinace je varovným signálem:

  • Krvácející dásně při čištění nebo jídle - to není normální, i když to mnoho lidí přijímá jako „přirozené“.
  • Zápach z úst, který nezmizí ani po čištění, čištění jazyka nebo použití ústní vody.
  • Stahování dásní - zuby vypadají delší, nebo vidíš více zubu než dříve.
  • Volné zuby - když se ti zub hýbe i jen trochu, je to vážné.
  • Bolest při žvýkání nebo citlivost na studené a horké.
  • Změna výhledu - když si všimneš, že ti zuby nejsou tak těsně vedle sebe jako dříve, může to být způsobeno ztrátou kosti.

Někteří lidé mají tyto příznaky roky a nechodí k lékaři, protože to nebolí. Ale parodontitida je tichá nemoc - a tichá nemoc je nejnebezpečnější.

Zubní lékař provádí hluboké čištění pod dásní pomocí ultrazvukového nástroje v klinice.

Jak se zubní kámen pod dásní léčí?

Domácí řešení - kartáček, nit, ústní voda - nejsou dostatečné. Když je kámen pod dásní, musíš jít k zubnímu lékaři. Léčba se jmenuje skalpelová čištění dásní (nebo scaling a root planing).

Toto není běžné čištění. Je to hluboká procedura, která probíhá v několika krocích:

  1. Diagnostika - lékař změří hloubku zubodásňových kapsí pomocí malého měřidla. Pokud je hloubka více než 3 mm, je to znamení problému.
  2. Odstranění kamenů - používá se speciální nástroj, který se dostane pod dásně a odstraní kámen i bakterie. Někdy se používá ultrazvuk, jindy ruční skalpely.
  3. Vyhlazování kořenů - po odstranění kamenů se kořen zubu vyhladí, aby se bakteriím neukryly na nerovnostech.
  4. Uzavření - někdy se aplikuje lokální antibiotikum do kapsy, aby se zastavilo zánět.

Procedura je obvykle provedena v několika sezeních, protože není možné očistit všechny zuby najednou. Můžeš cítit jen mírné nepříjemnosti, ale nejde o bolest. Lokální anestezie se používá, pokud je kámen hluboký nebo dásně citlivé.

Po léčbě se ti dásně začnou uzdravovat. Krvácení zmizí, zápach zmizí, zuby se přestanou hýbat - ale jen pokud budeš dodržovat pokyny lékaře.

Co dělat po léčbě - jak zabránit návratu?

Léčba kamenů pod dásní je jen začátek. Pokud nezměníš svůj přístup k péči o zuby, kámen se vrátí - často dokonce rychleji než předtím.

První pravidlo: čisti zuby dvakrát denně - nejen ráno a večer, ale správně. Nepoužívej jen horizontální pohyby. Používej modifikovaný Bassův způsob: kartáček držíš pod úhlem 45 stupňů k dásni a děláš jemné kruhové pohyby. Cíl je čistit nejen zub, ale i hranu dásně.

Druhé pravidlo: každý den používej zubní nit. Nebo mezi zubní kartáček. Nit je jediný způsob, jak dostat se mezi zuby tam, kde kartáček nepronikne. A právě tam se plak nejčastěji tvoří.

Třetí pravidlo: chodíš na kontrolu každých 6 měsíců. Ne jen na „čištění“. Na kontrolu parodontálního stavu. Lékař bude měřit hloubku kapsí a sledovat, zda se nezačíná kámen opět tvořit.

Čtvrté pravidlo: omez alkohol a kouření. Kouření zhoršuje parodontitidu až o 70 %. Alkohol suší ústní sliznici a zvyšuje riziko infekce.

Páté pravidlo: pravidelně jíš zeleninu, ořechy a čerstvé ovoce. Výživa hraje roli. Vitamín C podporuje zdraví dásní, vápník a hořčík pevnost kosti. Když tělo dostává potřebné živiny, lépe se uzdravuje.

Konceptuální znázornění ztráty kosti pod zubem způsobené zubním kamenem a bakteriemi.

Co se stane, když to necháš být?

Když zubní kámen pod dásní necháš být, výsledek je předvídatelný:

  • Ztráta zubů - nejen jednoho, ale často několika najednou. Kost se ztrácí a zuby se začnou hýbat až do okamžiku, kdy se vypustí.
  • Zvýšené riziko srdečních onemocnění - bakterie z úst se dostávají do krevního oběhu a mohou způsobit zánět cév.
  • Zhoršení cukrovky - parodontitida zvyšuje hladinu cukru v krvi a ztěžuje léčbu diabetu.
  • Zvýšené riziko předčasného porodu - u těhotných žen je spojení s nižší váhou novorozenců.

Toto není jen „zubní problém“. Je to problém celkového zdraví. A přitom je jednoduše řešitelný - pokud se na to podíváš včas.

Kdy je čas jít k lékaři?

Nechceš čekat, až ti zub vypadne. Pokud máš kterýkoli z těchto příznaků více než dva týdny:

  • Krvácení dásní
  • Zápach z úst
  • Stahování dásní
  • Volné zuby
  • Bolest při žvýkání

Nejde o to, jestli to bolí. Jde o to, jestli to můžeš zastavit. A to můžeš - ale jen pokud se hneš teď.

Nejčastější chyba: lidé čekají, až se objeví bolest. Ale parodontitida bolet nemusí. Je to jako vysoký krevní tlak - ničí tě, aniž by ti to řekla.

Zubní kámen pod dásní není příběh, který se vyřeší sám. Je to proces, který se zhoršuje - každý měsíc. Ale je také proces, který se dá zastavit - každý měsíc. Jen potřebuješ začít.

Může zubní kámen pod dásní zmizet sám?

Ne. Zubní kámen je tvrdá vápenná vrstva, kterou nelze odstranit kartáčkem, nití ani ústní vodou. Pouze zubní lékař může kámen pod dásní odstranit pomocí speciálních nástrojů. Pokud ho necháš, zhoršuje se a ničí kost.

Je léčba zubního kamene pod dásní bolestivá?

Obvykle ne. Lékař použije lokální anestezii, pokud je dásně citlivé nebo kámen hluboký. Během procedury cítíš jen tlak, ale ne bolest. Po ní můžeš mít nějakou citlivost nebo mírné záněty, ale ty přejdou za několik dní. Většina lidí říká, že to bylo mnohem méně nepříjemné, než si představovali.

Kolik stojí léčba zubního kamene pod dásní?

Cena závisí na rozsahu problému. Základní čištění (scaling a root planing) pro jednu část ústní dutiny (např. horní čelist) stojí v Česku mezi 1 500 a 3 000 Kč. Pokud je potřeba léčit celou ústní dutinu, můžeš očekávat náklady kolem 5 000-8 000 Kč. Většina zubních pojištění pokrývá alespoň část nákladů - zeptej se svého pojišťovatele.

Může zubní kámen pod dásní způsobit ztrátu všech zubů?

Ano. Pokud se parodontitida nezastaví, kost pod zuby se postupně rozpadá. Když ztratíš dostatek kosti, zuby se začnou hýbat a nakonec vypadnou. V některých případech se musí odstranit všechny zuby, protože už nejsou stabilní. To se ale dá předcházet - pokud se léčba začne včas.

Je možné se zubního kamene pod dásní úplně zbavit?

Ano, ale jen pokud se změní tvůj přístup k péči o zuby. Léčba odstraní kámen a zastaví zánět. Ale pokud dále nečistíš zuby správně, nechodíš na kontroly a necháváš kouření nebo špatnou výživu, kámen se vrátí. Zdraví dásní je dlouhodobá zodpovědnost - ne jednorázová procedura.

Co dělat dnes?

Nechceš čekat, až ti nějaký zub vypadne. Nechceš čekat, až ti zápach z úst začne rušit schůzky nebo večírky. Nechceš čekat, až se ti lékař řekne: „Už je pozdě.“

Dnes zavolej zubnímu lékaři a domluv si kontrolu. Neříkej, že „to je v pořádku“. Neříkej, že „to mě nebolelo“. Neříkej, že „mám čas to zkontrolovat příští rok“.

Parodontitida není příběh, který se vyřeší sám. Je to proces, který se zhoršuje - každý měsíc. Ale je také proces, který se dá zastavit - každý měsíc. Jen potřebuješ začít. A nejlepší čas začít je dnes.