Zubní Péče Plus

Zubní kámen pod dásní: jak ho zvládnout bez bolesti
21 February 2026 0 Comments Radim Novotný

Nástroj pro hodnocení zdraví dásní

Zjistěte své riziko vzniku zubního kamene

Odpovězte na několik otázek o svých způsobech péče o ústní higienu a zjistěte, jak je vaše riziko vzniku zubního kamene pod dásní.

Výsledek hodnocení

Zubní kámen pod dásní je jedna z těch věcí, které vás mohou překvapit právě v momentě, kdy už je příliš pozdě. Nevidíte ho, necítíte ho, ale když se začne dásňová tkáň zánětlivě otokovat, když při čištění zubů krvácíte nebo když vám zuby začnou být citlivé na studené pití, už víte - něco je špatně. A to něco je často zubní kámen, který se usadil přesně tam, kde ho nikdo nevidí: pod dásní.

Co je vlastně zubní kámen pod dásní?

Zubní kámen je tvrdý nános, který vzniká, když se zubní plak necháte na zubech příliš dlouho. Plak je ten měkký, bílý film, který se tvoří každý den - z bakterií, slin a zbytků jídla. Když ho neodstraníte pravidelným čištěním, začne mineralizovat. Většina lidí si myslí, že kámen je jen na viditelných částech zubů. Ale to není pravda. Pod dásní, tam, kde zub přechází do dásně, se kámen tvoří stejně snadno - a často ještě rychleji.

Tam, kde je kámen pod dásní, se nejedná jen o estetický problém. Tento nános je jako písek v mechanismu. Každý dýchací pohyb, každý zatínání zubů, každý kousnutí způsobuje tření mezi kamenem a dásní. Dásňová tkáň se tak neustále poškozuje. A když se poškozuje, začne se odtahovat od zubu. Vznikají tzv. parodontální kapsy - hluboké mezery, kam se vkládají další bakterie a kámen se rozšiřuje ještě hlouběji.

Proč to vůbec vzniká?

Nejčastější příčina je jednoduchá: špatná hygiena. Ale ne jenom proto, že si člověk nečistí zuby. Často se stává, že lidé čistí jen zuby, ale zapomínají na mezery mezi zuby, na zubní řetízky, na konce zubů, kde dásňová tkáň začíná. A právě tam, kde se čištění zastaví, se plak hromadí.

Nezapomeňte: zubní kámen pod dásní nevzniká jen z důvodu nečistoty. Některé léky, jako například léky na krevní tlak nebo antidepresiva, způsobují suchost úst - a to znamená méně slin. Sliny jsou přirozeným čističem. Když jich máte málo, plak se rychleji mineralizuje. Také kouření, cukr v potravě nebo genetická náchylnost mohou zvyšovat riziko.

Nejhorší je, že když se kámen pod dásní začne rozšiřovat, nemusíte cítit žádnou bolest. To je ten trik. Nebojíte se, protože nic nebolí. A tak to trvá měsíce, roky. Až jednoho dne si všimnete, že vám zub vypadá, nebo že se dásňová tkáň začne odtahovat a zub se zdá být delší než dříve. To je už pozdní stádium - a to, co jste mohli vyřešit za půl hodiny u zubního lékaře, se stává složitým zákrokem.

Co se stane, když to necháte běžet?

Když zubní kámen pod dásní necháte běžet, začne se měnit struktura kosti kolem zubu. Kost, která drží zub na místě, se začne rozpadat. Tento proces se nazývá parodontitida. A to je už jiná hra. Parodontitida není jen zánět dásní - je to zánět kosti, která zub drží. A kost se nevrátí. Jakmile se rozpadne, zub ztrácí podporu. A když zub ztrácí podporu, padá.

V České republice je každý třetí dospělý trpící nějakou formou parodontitidy. A většina z nich si toho vůbec nevšimla, dokud nezačali ztrácet zuby. To není přirozený proces stárnutí. Je to důsledek toho, že se lidé nechávají zubní kámen pod dásní v klidu.

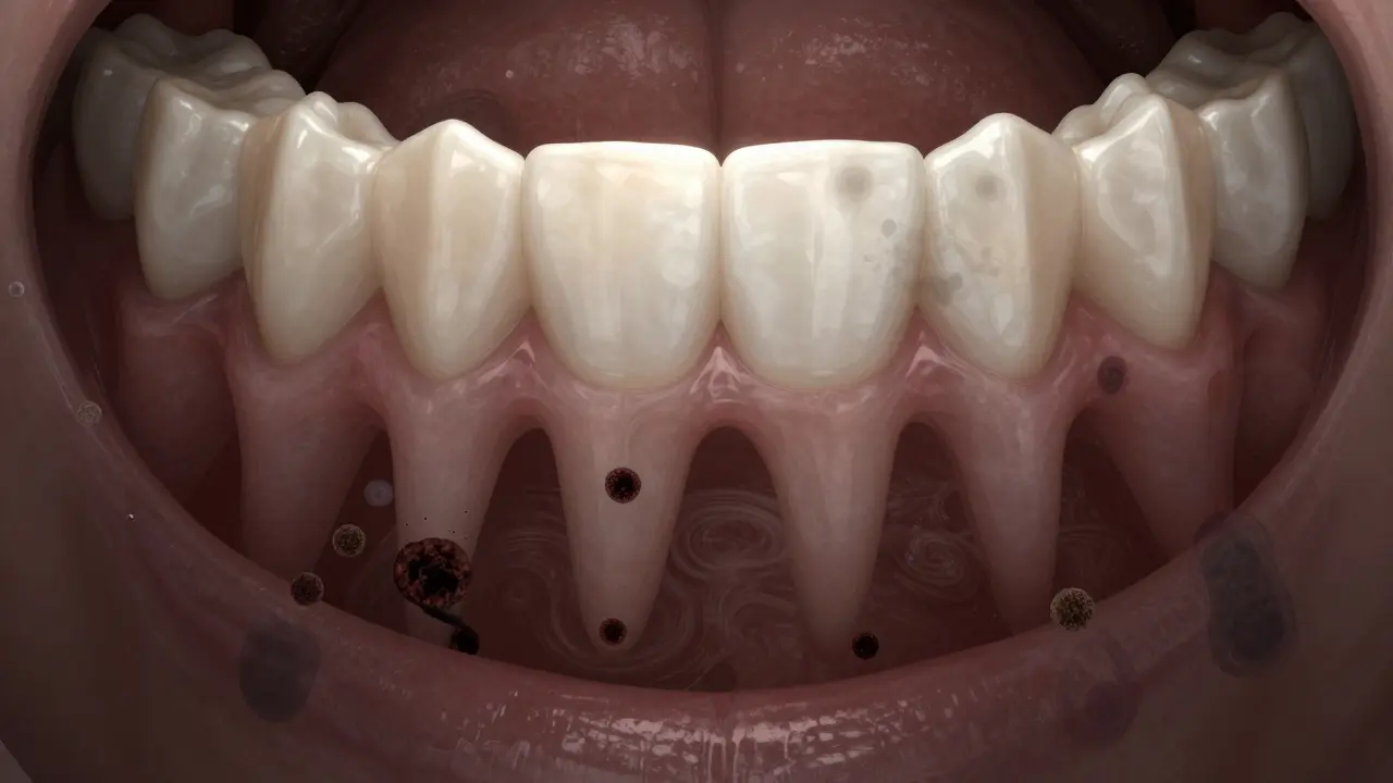
Konceptuální ilustrace zubu s kamenem rostoucím pod dásní, symbolizující skrytý zánět.

Jak to zjistit, když to nebolí?

Neexistuje domácí test na zubní kámen pod dásní. Ale existují příznaky, které byste neměli ignorovat:

  • Dásně krvácí při čištění - i když to děláte opatrně
  • Ústa mají trvalý zápach, i když si čistíte zuby každý den
  • Dásně se zdají být odtažené od zubů - zuby vypadají „delší“
  • Cítíte, že zuby jsou citlivější na studené nebo horké
  • Zuby se začínají pohybovat nebo se mezi nimi vytváří mezery, které dříve nebyly

Když některý z těchto příznaků trvá déle než dva týdny, je čas jít k zubnímu lékaři. Nečekat, až to začne bolet. Nečekat, až se zub vypne. Většina lidí čeká až na bolest - a pak je příliš pozdě.

Jak to lékař zjistí a jak to odstraní?

Zubní lékař použije zrcátko a tenký nástroj - zubní sondu - a opatrně prozkoumá hloubku dásňových kaps. Když je hloubka více než 3-4 mm, je to varování. Když je více než 5 mm, je to jasný signál, že pod dásní už je kámen a dásňová tkáň je poškozena.

Odstranění kameně pod dásní se nazývá skalpelové čištění nebo parodontální léčba. Není to to, co děláte doma. Je to zákrok, který se dělá pod místním anestetikem. Lékař použije speciální nástroje - ultrazvukový čistič a ruční skaly - a odstraní kámen i z nejhlubších úzkých prostorů. Většinou to trvá jednu až dvě návštěvy. Nejsou to zákroky, které byste měli bát. Jsou to zákroky, které vám zachrání zuby.

Po čištění lékař obvykle doporučí regulérní kontroly každé 3-6 měsíců. Proč? Protože kámen se pod dásní může opět vytvářet. A když se opět začne tvořit, je lehčí ho odstranit hned, než ho nechat růst.

Abstraktní zobrazení zubu s mineralizovanými nánosy pod dásní a bakteriemi v kapsě.

Jak tomu předcházet?

Předcházet je snazší, než léčit. A to je jednoduché:

  1. Čistěte zuby dvakrát denně - nejen zuby, ale i mezery mezi zuby. Používejte zubní nit. Klasické čištění zubní kartáčkem nestačí.
  2. Čistěte jazyk - tam se také hromadí bakterie, které přispívají k tvorbě plaku.
  3. Používejte zubní pastu s fluoridem - fluorid posiluje zubní sklovinu a zpomaluje mineralizaci plaku.
  4. Omezte cukr - každý kousek cukru je jídlo pro bakterie. A bakterie produkují kyselinu, která způsobuje plak.
  5. Navštěvujte zubního lékaře každých 6 měsíců - i když nic nebolí. Zubní kámen pod dásní se neobjeví najednou. Vzniká postupně. A jen lékař ho může vidět dřív, než ho uvidíte vy.

Některé osoby potřebují čištění častěji - například kouřící lidé, diabetici nebo ti, kteří už měli nějaký zánět dásní. Většina z nich má doporučení na čištění každé 3 měsíce. To není přehnané. To je prevence.

Co dělat, když už jste měli kámen pod dásní?

Pokud jste měli parodontální léčbu, nevěřte tomu, že problém je vyřešen. Kámen může znovu vzniknout. A když se znovu vytvoří, dásně už nejsou tak silné jako dříve. To znamená, že je potřeba ještě pečlivější péče.

Nezapomeňte:

  • Nečistěte zuby jen rychle - věnujte jim 2-3 minuty.
  • Používejte zubní nit každý den - ne jen když vám někdo říká.
  • Používejte ústní vodu s chlorhexidinem (pouze na krátkou dobu, podle lékaře).
  • Přemýšlejte o tom, zda nejste kouřákem - kouření zhoršuje zánět dásní a brání hojení.

Parodontitida není nemoc, která vás „přemění“. Je to proces, který vás může postupně připravit o zuby. Ale když ho zastavíte na čase, můžete zuby mít celý život.

Co vás může překvapit

Většina lidí si myslí, že zubní kámen pod dásní je jen pro starší lidi. To není pravda. V Brně jsme v posledních letech viděli, že i lidé ve věku 25-35 let mají zubní kámen pod dásní - a to bez příznaků. Důvod? Změna stravy, stres, nedostatek spánku, časté pití slazených nápojů. To všechno zvyšuje riziko.

Nebojte se jít k lékaři, i když nic nebolí. Když jste v pohodě, je to nejlepší čas na prevenci. Když už bolí, je to pozdě. A když už zub vypadá, je to už příliš pozdě.