Zubní Péče Plus

Jaká je souvislost mezi mezizubním kazem a zdravím dásní?
1 January 2026 0 Comments Radim Novotný

Zdraví dásní - Nástroj pro kontrolu stavu dásní

Tento nástroj pomáhá posoudit riziko zánětu dásní a mezizubního káze na základě příznaků a ústní hygieny. Podle odpovědí vám poskytne výsledky a doporučení pro zlepšení stavu dásní.

Odpovězte na několik otázek

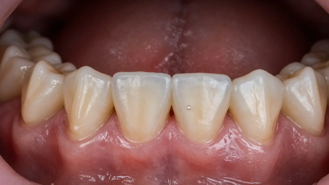
Mezizubní kaz není jen o zubu, který bolí. Je to první varovný signál, že něco není v pořádku s celým ústním prostředím. Když se káze začne tvorit mezi zuby, nejde jen o ztrátu skloviny - tato oblast je přímo spojená s dásněmi. A tam, kde je kaz, tam často začíná i problém s dásněmi. Nejde o náhodnou shodu. Je to přímá cesta.

Co je mezizubní kaz a kde se tvoří?

Mezizubní kaz se objevuje tam, kde zubní kartáček nedosáhne - mezi zuby, pod dásněmi, v úzkých štěrbinách. To je místo, kde se hromadí zbytky jídla a bakterie. Bakterie přeměňují cukry na kyseliny, které pomalu rozpouštějí sklovinu. A protože tyto prostory nejsou vidět, kaz se často rozvíjí dlouho bez příznaků. Až jednou začne bolet, je už pozdě.

Mezizubní kaz se nejčastěji objevuje u molárů a předních zubů, kde jsou mezery nejúžší. A právě tam, kde se kaz tvoří, se také hromadí plak - ten neviditelný lepivý film, který se tvoří na zubech každý den. Když se plak nesmaže, ztuhne a přemění se na zubní kámen. Ten už kartáček neodstraní. A právě zubní kámen je ten, co drží bakterie těsně u dásní.

Jak kaz ovlivňuje dásně?

Když se plak a zubní kámen hromadí mezi zuby, bakterie se dostávají přímo pod dásně. Tam začínají produkovat toxiny, které podráždí tkáně. Dásně se červenají, zánětlivě, krvácejí při čištění. To je první fáze gingivitidy - zánětu dásní. Mnozí to považují za normální, ale není to normální. Je to tělo, které volá o pomoc.

Když se to neřeší, bakterie pronikají hlouběji. Přesunou se pod dásně, kde ničí vazivovou tkáň a kost, která drží zub na místě. To je parodontitida. A parodontitida je hlavní příčinou ztráty zubů u dospělých. A co je důležité - mezizubní kaz je jedním z nejčastějších zdrojů, který tento proces spouští.

Studie z Journal of Clinical Periodontology ukazují, že lidé s mezizubním kázem mají třikrát vyšší riziko vývoje parodontitidy než ti, kteří tyto oblasti pravidelně čistí. Proč? Protože kaz je jako díra, která umožňuje bakteriím vstoupit do dásně. A jakmile tam jsou, je těžké je vyhnat.

Proč se to nevidí?

Mezizubní kaz a počáteční zánět dásní nebojí. Nebojí se, protože nebolí. Nebojí se, protože nevidíte. Nebojí se, protože se to neobjeví na zrcadle. To je hlavní problém. Lidé si myslí, že když nebolí, je všechno v pořádku. Ale zubní kámen a mezizubní kaz se vyvíjejí pomalu - během měsíců, let. Až když se dásně začnou odsouvat, zuby se rozcházejí, nebo se objeví hnis, je už pozdě.

Nejčastější chyba? Lidé si myslí, že stačí čistit zuby. Ale kartáček nedosáhne mezi zuby. A když nečistíte mezery, plak se hromadí, káze se rozvíjí a dásně se zánětlivě zhoršují. To není teorie - je to to, co vidíte v každodenní praxi u pacientů, kteří přijdou na zubaře s rozpadajícími se zuby a odsouvanými dásněmi.

Mikroskopický pohled na bakterie ničící sklovinu a podrážděné dásně.

Co dělat, abyste to zastavili?

Nejúčinnější způsob, jak zabránit mezizubnímu kázi a zánětu dásní, je čištění mezizubních prostor. Každý den. Ne jen někdy.

  • Mezizubní kartáček - ideální pro široké mezery. Vložíte ho mezi zuby a jemně ho pohybujete zpět a dopředu.
  • Zubní nit - nejlepší pro úzké mezery. Zatáhnete ji mezi zuby, obtočíte kolem jednoho zubu, přitlačíte k povrchu a pohybujete nahoru a dolů. Nepoužívejte ji jako pila - neřežte dásně.
  • Mezizubní vlaženka - pomáhá, ale ne nahrazuje fyzické čištění. Používejte ji jako doplněk, ne jako řešení.

Čistěte mezery alespoň jednou denně - ideálně večer, před spaním. Když se plak hromadí přes noc, bakterie mají největší příležitost ničit. A nezapomeňte: pokud máte dásně, které krvácejí, nezastavujte čištění. Zrovna tam potřebujete čistotu.

Když už je to špatně - co dál?

Když už máte mezizubní kaz nebo krvácení dásní, nečekáte na to, že to samo zmizí. Jděte na zubaře. Ne na „když budu mít čas“. Na následující týden.

Zubař provede profesionální čištění - odstraní zubní kámen, který jste si nevšimli. Zkontroluje hloubku dásňových kapslí. Pokud je hloubka větší než 3 mm, je to varování. Pokud je 5 mm a více, hrozí ztráta kosti.

Ve většině případů stačí jedno čištění a změna domácí péče. Ale pokud je káze hluboký, může být potřeba plomba mezi zuby - a to je složitější zákrok, protože musí být přesně tvarovaná, aby nezůstaly mezery, kde by se mohly opět hromadit bakterie.

Někdy je potřeba i léčba parodontitidy - odstranění infekce pod dásněmi, v některých případech i chirurgie. Ale všechno tohle byste mohli vyhnout, kdybyste čistili mezery každý den.

Dentalní nit mezi zuby s viditelným zánětem v dásních.

Co se stane, když to ignorujete?

Ignorování mezizubního káze a krvácení dásní nevede jen k ztrátě zubu. Vede k celkovému zhoršení zdraví. Bakterie z ústní dutiny se dostávají do krve. Studie ukazují spojení mezi parodontitidou a zvýšeným rizikem srdečních onemocnění, cukrovky a dokonce i demence.

Nejde o „to se stane někdy“. Jde o to, že když máte krvácení dásní, vaše tělo je v chronickém zánětu. A chronický zánět je jako malý požár uvnitř - pomalu ničí celý systém.

Nejste jediný, kdo to má. Každý druhý dospělý v Česku má nějaký stupeň zánětu dásní. Ale to neznamená, že to musí být normální. To znamená, že se to neřeší.

Co si pamatovat?

Mezizubní kaz a zdraví dásní nejsou dvě samostatné věci. Jsou jedna věc. Když se kaz tvoří mezi zuby, dásně to hned cítí. Když dásně krvácí, je to signál, že tam něco není v pořádku - a možná už je tam kaz.

Nečekáte na bolest. Nečekáte na ztrátu zubu. Čistíte mezery každý den. Jdete na kontrolu každých šest měsíců. A když dásně krvácí, nezastavujete čištění - zvyšujete ho.

Zdravé dásně nekrvácí. Zdravé mezery nejsou plné káze. A zdravé zuby neztrácíte, protože jste se o ně postarali.

Může mezizubní kaz způsobit ztrátu zubu?

Ano, může. Mezizubní kaz, pokud se neodstraní, se rozšíří do hlubších vrstev zubu a zároveň způsobuje zánět dásní. Ten zánět ničí kost, která drží zub na místě. Když se kost ztratí, zub se začne hýbat a nakonec padne. To je jedna z nejčastějších příčin ztráty zubů u dospělých.

Proč dásně krvácí, když čistím zuby?

Krvácení dásní je znamení zánětu - gingivitidy. Když se plak a zubní kámen hromadí pod dásněmi, tělo na to reaguje zánětem. Dásně se stávají citlivějšími a krvácí při čištění. To neznamená, že byste měli přestat čistit. Naopak - potřebujete čistit ještě pečlivěji, abyste zánět zastavili. Krvácení by mělo zmizet během týdne nebo dvou, pokud budete čistit pravidelně.

Je zubní nit lepší než mezizubní kartáček?

Není lepší ani horší - záleží na mezerech. Pokud máte úzké mezery mezi zuby, zubní nit funguje lépe. Pokud máte širší mezery nebo zubní kámen, mezizubní kartáček je efektivnější. Někteří lidé používají obě věci - nit pro přední zuby a kartáček pro moláry. Důležité je, abyste mezery čistili, ať už jakoukoliv metodou.

Může zubní kámen způsobit mezizubní kaz?

Ano, přímo. Zubní kámen je tvrdý nános plaku, který se tvoří, když se plak neodstraní. Ten nános drží bakterie těsně u dásní a vytváří ideální prostředí pro tvorbu kyselin, které ničí sklovinu. Když je kámen mezi zuby, je tam i kaz - jen ho nevidíte. Kámen nejen zvyšuje riziko káze, ale také ztěžuje čištění, takže se problém jen zhoršuje.

Jak často bych měl jít na zubaře, když mám problémy s dásněmi?

Pokud máte krvácení dásní nebo známky mezizubního káze, doporučuje se navštívit zubaře každé tři až čtyři měsíce, dokud se stav nezlepší. Standardní šestiměsíční kontroly nestačí - potřebujete pravidelné odstranění zubního kamene a sledování stavu dásní. Jakmile se zánět zastaví, můžete přejít na šestiměsíční návštěvy.

Nezapomeňte: zdravé dásně nekrvácí. A když krvácí, je to signál - ne ignorujte ho.